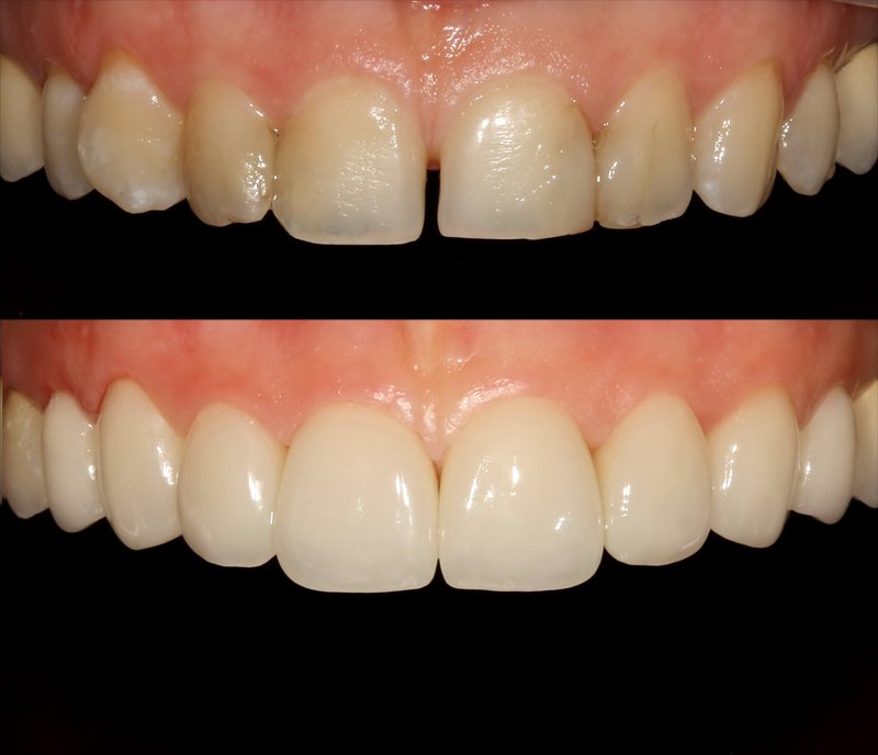
Виниры
Клиника "Аюр-Дент" предлагает вам суперпопулярный вид реставрации зубов при помощи виниров.
Композитные виниры предполагают замену поверхностного слоя эмали специальным материалом, улучшающим цвет зубов. Однако композитные виниры состоят из органических частей, которые легко окрашиваются и меняют свой цвет под воздействием продуктов питания, которые человек употребляет в пищу. Так что будьте готовы к тому, что композитные виниры нужно будет полировать и менять примерно один раз в году.

Более долговечными, качественными и от этого более дорогими являются керамические виниры. Их изготавливают в специальной лаборатории, благодаря чему такой материал производится с учётом наклона зубов, формы и прикуса пациента