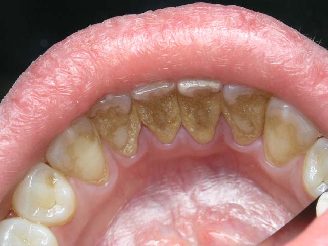
Удаление зубных камней
Зубные отложение бывают мягкие и твердые. Зубной камень — твердые зубные отложения, образующийся на поверхности зубов. Неприятность в том, что вызывает неприятные ощущения, запах изо рта, заболевания десен таких как гингивит, пародонтит и т. д


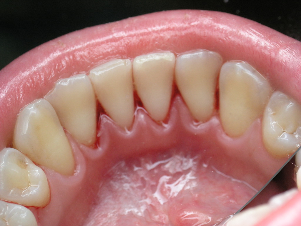
Удаление зубного налета современным ультразвуковым аппаратом.
В стоматологии «Аюр-Дент» удаление зубного налета производится современным ультразвуковым аппаратом, с последующим полированием зубов специальными стоматологическими пастами и щетками с охлаждением. Для улучшения качества жизни, после удаления налета Мы покрываем зубы зашитной пленкой для снижения чувсвительности зубов.