Лечение пародонтита
Пародонтит- при не лечение гингивита развивается пародонтит. Происходит убыль десны, зубы приобретают чувствительность на холод и горячее, зубы становятся подвижными.
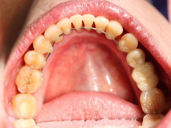
Подвижные зубы Шинирование зубов

Лечения пародонтита в Стоматологии «Аюр-Дент» осуществялется полный комплекс:
1) удаление мягких и твердых зубных отложений.
2) удаление поддесневых зубных отложений
3) подавление флоры микробов
4) ревизия пародонтальных карманов.
5) лечение диодным лазером
6)Подбор индивидуальной гигиены полости рта
7) Шинирование зубов.