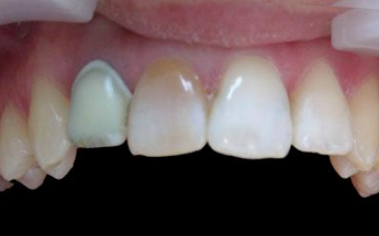
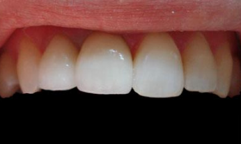
Эстетическая реставрация
Эстетическая реставрация в наше время занимает важное значение. С возрастом или при наличие вредных привычек (чаще всего сигареты и кофе) эмаль теряет свой цвет и блест.
Эстетическая реставрация в «Аюр-Дент» поможет придать красоту вашим зубам!
