Художественная реставрация
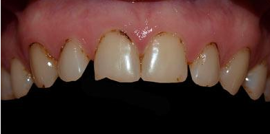
Художественная реставрация - с возрастом наши зубы теряют свою первозданную форму – появляются сколы, щербинки, кромка зуба постепенно стирается. Изменяется не в лучшую сторону и цвет эмали.
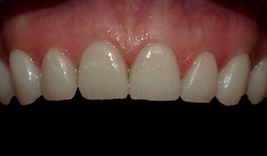
Художественная реставрация позволяет:
- скорректировать форму зуба и зубного ряда
- исправить положение зуба
- устранить щели между зубами
- устранить сколы зуба


1) исправление формы и зубного ряда
2) сколы зуба (материалами нового поколения)


4) устранить щели между зубами (Виниры Impress )
В стоматологии «Аюр-Дент» индивидуальный подбор виниров и реставрационных материалов, мы поможем сделать вашу улыбку красивой!